м. Таганская
м. Марксистская

Центр имплантологии
и эстетической стоматологии

пн-вс 9:00-22:00
Запишитесь на консультативный прием
Бесплатная диагностика и снимок КТ
imperia of smile
Идеальные зубы за
3 приема у стоматолога
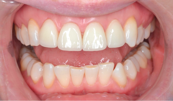
Красивая улыбка, даже если ее не было от природы!
Изготовление в цифровой лаборатории

Империя улыбок

1200+
красивых улыбок каждый год
25 лет

Лучшая цена в Москве:
34 000 23 000 рублей керамический винир Е-МАХ

средний опыт врачей клиники
7-14 дней
от консультации до сдачи виниров
100%
улыбка, как вы мечтали
0%
рассрочка без процентов
Лучшая цена в Москве:
34 000 23 000 рублей керамический винир
Е-МАХ
Запишитесь
на консультацию

Центр имплантологии
и эстетической стоматологии

Империя улыбок

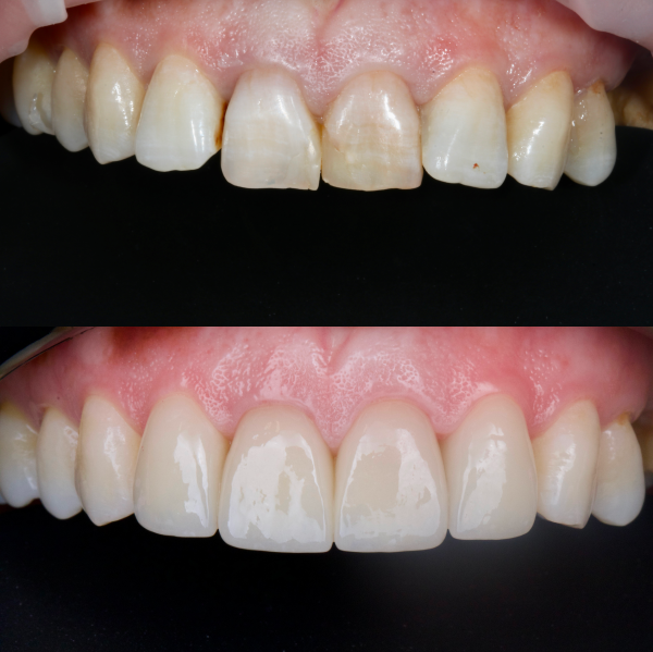
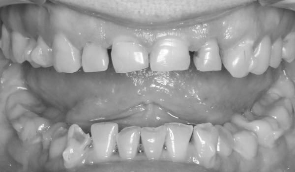
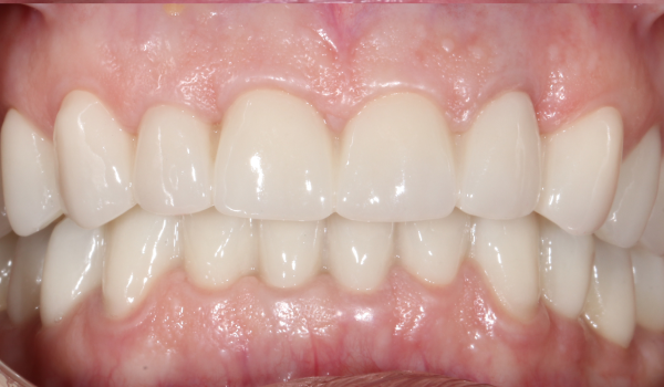
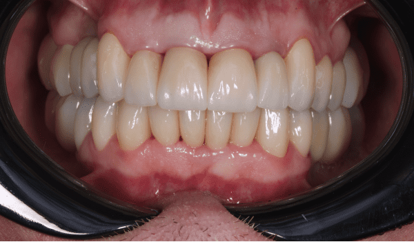
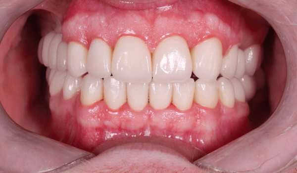
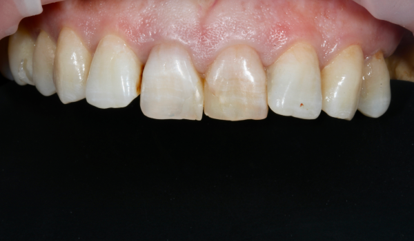
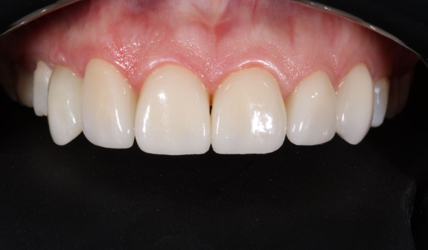
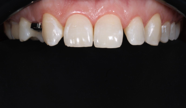
Истории лечения наших пациентов в формате "до-после"
Империя здоровых и красивых улыбок
<
>
Керамические виниры Е-МАХ
Комфорт идеальных зубов
Как всё пройдёт?
Этапы лечения
1. Диагностика и проф. гигиена
оцениваем состояние зубов и проводим полную санацию
2. Цифровой дизайн улыбки
распечатываем и примеряем реальную модель будущих зубов
4. Примерки и фиксация
3. Подготовка зубов
под микроскопом обтачиваем зуб для надежной фиксации
примеряем виниры и корректируем по вашим пожеланиям
Керамические виниры Е-МАХ – лучший выбор для создания идеальной улыбки. Толщина всего в 0,3 мм и особые свойства керамики позволяют с точностью повторить натуральную эстетику вашей улыбки.

Керамические виниры изготавливаются по полному цифровому протоколу. Это исключает любые неточности и врачебные ошибки.
Прессованная керамика Е-МАХ, разработанная компанией Ivoclar – единственный на сегодня материал, из которого возможно создать накладку, в точности повторяющую естественный цвет и прозрачность зуба.

Е-МАХ в 2 раза тоньше виниров из обычной керамики или композита, при этом они крепче и устойчивы к ежедневным нагрузкам на зубы.
опробовали и усовершенствовали передовые методики и материалы для эстетических реставраций
собрали лучших специалистов в эстетической стоматологии
создали условия, в которых преображение каждого пациента проходит в 100% соблюдении стандартов безопасности, безболезненности и комфорта
Мы исполним вашу мечту об идеальной улыбке
В одной клинике мы:
Оператор колл-центра позвонит вам или напишет в WhatsApp, чтобы уточнить вашу ситуацию и записать к подходящим специалистам на бесплатное обследование.

Полностью бесплатная первичная консультация

Снимок КТ в подарок при первой записи
Ответьте на пару вопросов.
Мы рассчитаем план лечения
Какие виниры выбрать:
Е-МАХ стандарт, Е-МАХ+ или "360"?
Особенности
1 год
Консультация + КТ в подарок
Гарантия
на изделие
Срок службы
Срок службы
Е-МАХ+
Цена 1 ед.
Премиальная глубина цвета и натуральная эстетика
Материал
Виниры 360
Особенности
Максимальная эстетика при серьезных разрушениях зуба
Керамика Е-МАХ,
керамическая масса
45.000 руб
Цена 1 ед.
ручное нанесение
слоев керамики
Материал
Е-МАХ стандарт
Виниры из керамики Е-МАХ
5 лет
Консультация + КТ в подарок
Диоксид циркония
Материал
Гарантия
на изделие
Толщина 0,3 мм
Консультация + КТ в подарок
23.000 руб
38.000 руб
Керамика Е-МАХ
25+ лет
38.000 руб
Гарантия
на изделие
при недостатке ткани для винира
Особенности
Цена 1 ед.
Срок службы
25+лет
15+ лет
1 год
акция
до 30.11
Гарантируем, что стоимость позиций на сайте
и в клинике совпадут на 100%!
<
>
Для вас работают ведущие специалисты эстетической стоматологии в России
хирург-имплантолог
стаж: 17 лет
Ерохин Максим Владимирович
Арутюнян Анна Ашотовна
стоматолог-ортодонт
стаж: 7 лет
Князев Абусупиян Казакмурзаевич
стоматолог-ортопед
стаж: 8 лет
Саватеев Антон Сергеевич
стоматолог-гигиенист
стаж: 18 лет
Эларян Асмик Хачиковна
Ерёмин Дмитрий Александрович
хирург-имплантолог
стаж: 15 лет
(главный врач)
Сиреканян Тамара Аркадьевна
стоматолог-терапевт
стаж: 17 лет
стоматолог-терапевт
стаж: 2 года
<
>
Эларян Асмик Хачиковна
Ерёмин Дмитрий Александрович
хирург-имплантолог
стаж: 17 лет
Ерохин Максим Владимирович
Сиреканян Тамара Аркадьевна
Арутюнян Анна Ашотовна
стоматолог-ортодонт
стаж: 7 лет
Князев Абусупиян Казакмурзаевич
стоматолог-ортопед
стаж: 8 лет
Саватеев Антон Сергеевич
стоматолог-гигиенист
стаж: 18 лет
(главный врач)
хирург-имплантолог
стаж: 15 лет
стоматолог-терапевт
стаж: 17 лет
стоматолог-терапевт
стаж: 2 года
Для вас работают ведущие имплантологи и ортопеды России
Получите расчёт стоимости на бесплатной консультации от врача со стажем 17 лет
Полностью бесплатная первичная консультация

Снимок КТ в подарок при первой записи
Получите второе независимое мнение – примите более взвешенное решение
Уже были в других клиниках
и остался снимок КТ на руках?
Далеко ехать в Москву на консультацию? Проведем прием онлайн
Составим план лечения онлайн по снимку КТ.
Запишитесь на онлайн-консультацию
Смотрите видео о клинике от главного врача:
Эларян Асмик Хачиковны
Империя Улыбок на Таганской:
экскурсия по клинике
Империя Улыбок
на Таганской:
экскурсия по клинике
Не боимся независимых рейтингов. Прочитайте о нас
Рейтинг
5,0 из 5
Рейтинг
4,5 из 5
Рейтинг
5,0 из 5
Хотите изучить мнение пациентов о наших услугах и сервисе?
Контакты
Москва, Таганская ул, д. 15 стр. 2
(метро Марксистская)

пн-вс 9:00-21:00

imperiaofsmile@yandex.ru

+7 (495) 568 03 03
Центр имплантологии
и эстетической стоматологии
пн-вс 9:00-21:00
imperia of smile
Империя улыбок
Вся представленная на сайте информация, касающаяся товаров, услуг и стоимости услуг, носит информационный характер и ни при каких условиях не является публичной офертой.

Лицензия на осуществление медицинской деятельности №ЛО41-01137-77/00647001 от 10.04.2023

ООО "Старт-М", 109147, город Москва, Таганская ул, д. 15 стр. 2, помещ. 1/1

Политика в отношении обработки персональных данных